
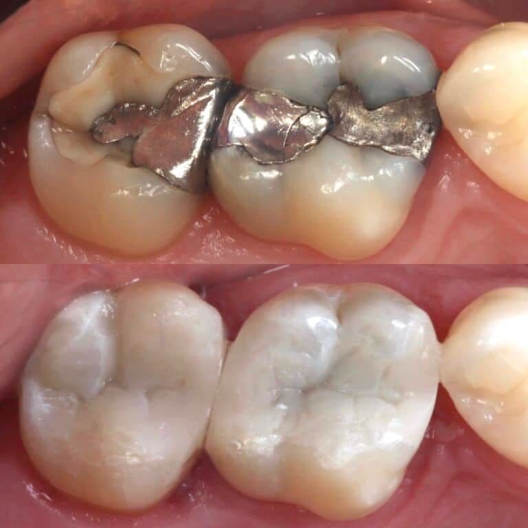
If your tooth/teeth have been affected by decay, fractures, or other forms of damage, white fillings aid restoration of teeth in a way which strengthens them and increases the likelihood of the teeth surviving long term.

White fillings, also commonly referred to as tooth-coloured fillings or composite fillings, are proven as one of the best types of dental
materials to restore your tooth back to its best condition.




