

Clear Aligners Leeds
Dr Phil Aesthetic Dentistry can provide clear aligners in Leeds to help straighten your teeth without needing visible metal braces!
Clear aligners have been used to treat over 12 million patients. Therefore, it has a good track record and is extremely reliable in treating crooked teeth even in severe cases.
Looking to book your consultation today? Please use our online booking form.
SmileWhite aligners
Dr. Phil uses Smilewhite aligners at Yorkshire Dental Suite in Leeds. Smilewhite aligners were founded in 2019 and have quickly become one of the most trusted clear aligner products on the market.
The technology that predicts the movements of the teeth is state of the art and the aligners themselves have anti-stain properties which means that the aligners will not stain yellow throughout the week like other products.
Here are the key benefits and features of Smilewhite Aligners:
- Bespoke SuperFit™ Aligners designed just for you.
- You are guaranteed a glowing transformation with Smilewhite aligners.
- Tooth attachments to aid movement.
- It’s a pain-free treatment from start to finish.
The process
- consultation is arranged where a dental checkup is performed for your aligner journey.
- Your second visit will be to have your aligners fitted by Dr. Phil.
- On-going check-ups and appointments may be required.
- Attachments are removed and the final scans are completed to get retainers made.
Clear Aligner benefits
Your perfect smile is closer than you think.
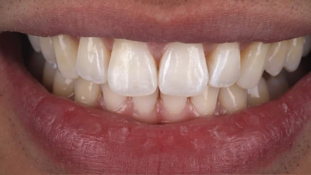
If you have wonky teeth you’ll benefit from clear aligners and a proven process to straighten your teeth which will help to improve your overall confidence throughout your personal and professional life.
Key benefits of clear aligners include:
• Proven process to straighten your teeth.
• Clear aligners help to improve your overall confidence.
• Clear aligners are invisible so you won’t feel self-conscious.
• You won’t need to cut down on your favourite foods or drinks.
• You’ll experience comfort as they are made with smooth plastic.
• Tightening isn’t required so you’ll spend much less time visiting us!
Book your Clear Aligner consultation today
Looking to book a consultation with us for Clear Aligners in Leeds? We would love to hear from you today. Book your clear aligner consultation using our booking form here.
Alternatively, if you’re looking for more information at this stage, please use our contact form.
Testimonials
Fiona Cryan
almost 2 years ago
Couldn’t recommend Dr Phil enough. I’ve had aligners, whitening and bonding and I am thrilled with the results. Thank you, 10/10!
Sam Cohen
about 2 years ago
Wow. Dr Phil was absolutely incredible. I have a fear of the dentist and he put me at ease immediately, went absolutely perfect and love my new teeth. Words can’t describe how much more confident I feel. He really has changed my life.
Nicky Parry
almost 2 years ago
Great service, felt confident with his plan for my teeth and executed with precision. I feel they look very natural (how I wanted them). Highly recommend!
Frequently asked questions
What options do you offer for payment?
You’ll be pleased to know that we are highly flexible with payment terms across our cosmetic dental treatments. There are a number of ways that you can finance your treatment so that it’s as easy as possible for you. If you prefer you can pay for your treatments as you go or alternatively, you can apply for finance up to 12 months interest free or 5 years interest bearing.
How do Invisalign (Clear Aligners) straighten teeth?
Utilising a sequence of custom-made clear aligners, Invisalign is designed to guide you towards your desired smile. These uniquely crafted trays are personalised for your treatment. As you progress through the treatment plan, you’ll switch to a new set of aligners every week.
The Invisalign clear aligners work gently, gradually shifting each tooth into its intended position. Although the transformation may not be immediately evident in your daily observations, the remarkable results typically become apparent within a few short months.
Can you close gaps with Invisalign?
Yes, of course. If you’re seeking to close gaps and perfect your smile, this can be achieved with Invisalign! At your consultation appointment, we will decide which is the most appropriate treatment for you, however, straightening your teeth is the best way to close gaps! Visit our dedicated smile gallery page here for examples.
How long will my treatment take?
Great question! The time it takes may depend on the complexity of the treatment and is usually approximately the same time as traditional, fixed braces. When we see you at the initial consultation, we’ll be able to give you a much better estimated timeframe on how long your treatment is likely to take.
How does Invisalign compare with traditional braces?
Invisalign (clear aligners) are much more comfortable to wear compared to traditional braces. With clear aligners, there is no need to feel conscious or uncomfortable with the ambition to straighten your teeth. Moreover, there’s also no need to pay a visit to an orthodontist to have your wire tightened. Instead, you will change to a new set of trays every week from the comfort of your own home!
What is the process in full?
- First book a consultation with Dr. Phil where a dental checkup is performed to ensure your teeth are healthy before a 3D aligner scan is completed to start your aligner journey.
- Your second visit will be to have your aligners fitted by Dr. Phil. Your attachments will be placed at this appointment to aid the movement of the teeth. You’ll also receive your full kit to take home with you as well as instructions as to how to wear the aligners.
- On-going check-ups and appointments may be required until you achieve your desired teeth straightening ambitions and results.
- Finally, once your teeth are straight your attachments are removed and the final scans are completed to get retainers made.










